- Клиника и диагностика
- Дифференциальный диагноз
- Предоперационная подготовка
-
Принципы лечения глиом
- Астроцитомы
- Глиобластома (ГБ)
- Пилоидные астроцитомы (ПА)
- Субэпендимарная гигантоклеточная астроцитома
- Плеоморфная ксантоастроцитома
- Олигодендроглиома (ОДГ)
- Олигоастроцитомы (ОА)
- Эпендимомы
- Опухоли сосудистого сплетения
- Нейроэпителиальные опухоли неясного происхождения
- Нейрональные и нейронально-глиальные опухоли
C71 Злокачественное новообразование головного мозга, МКБ-10
- C71.0 Большого мозга, кроме долей и желудочков
- C71.1 Лобной доли
- C71.2 Височной доли
- C71.3 Теменной доли
- C71.4 Затылочной доли
- C71.5 Желудочка мозга
- C71.6 Мозжечка
- C71.7 Ствола мозга
- C71.8 Поражение, выходящее за пределы одной и более вышеуказанных локализаций головного мозга
- C71.9 Головного мозга неуточненной локализации
Отредактировано: 02.04.2024
акад. РАН и РАМН, проф. Коновалов А.Н., к.м.н. Козлов А.В., д.м.н., проф. Черекаев В.А., д.м.н., проф. Лошаков В.А., д.м.н. Голанов А.В., Непомнящий В.П.
НИИ нейрохирургии им. Н.Н. Бурденко РАМН
Возникают из клеток мозговой паренхимы (глии) — астроцитов (астроцитомы), олигодендроцитов (олигодендроглиомы) и клеток выстилки желудочков мозга — эпендимы (эпендимомы). Встречаются опухоли смешанного (олигоастроцитома, ганглиоглиома, центральная нейроцитома) и неясного генеза (астробластома, спонгиобластома, глиоматоз мозга).
Глиомы составляют свыше 50% опухолей ЦНС. Заболеваемость — около 6 на 100 тыс. населения в год.
Генетические аномалии, приводящие к возникновению глиом, могут быть разнообразными. Наиболее характерна (наблюдающаяся примерно в 40% случаев астроцитом) утрата генетического материала в коротком плече 17 хромосомы с повреждением гена-супрессора пролиферации клетки p53; в 70% случаев глиобластом отмечается моносомия по 10 хромосоме.
Критерии злокачественности — плотноклеточность, ядерный и клеточный полиморфизм, пролиферация эндотелия сосудов, наличие митозов и очагов некроза. По степени злокачественности глиомы делятся на 4 группы (степени).
Глиомы I и II степеней злокачественности рассматриваются обычно вместе и называются глиомами низкой степени злокачественности (low grade gliomas), или доброкачественными, классифицируются по МКБ–10 как D33.0, D33.1. К ним относятся: пилоцитарная (пилоидная) и субэпендимарная гигантоклеточная астроцитома (I степень злокачественности), фибриллярная, протоплазматическая, гемистотическая и плеоморфная ксантоастроцитома, олигодендроглиома, олигоастроцитома, эпендимома и некоторые другие (II степень злокачественности).
Глиомы III и IV степеней злокачественности называются глиомами высокой степени злокачественности (high grade gliomas), или просто злокачественными. К ним относятся: анапластическая астроцитома, анапластическая олигодендроглиома и анапластическая эпендимома (III степень), глиобластома и глиосаркома (IV степень). Классифицируются как C70 с подразделениями по локализации.
В хирургическом плане подразделяют на 2 категории — диффузно растущие (или диффузные) и отграниченные (или узловые).
Отграниченные глиомы характеризуются наличием сравнительно четких макро— и микроскопических границ с окружающим мозговым веществом, при этом структуры нервной ткани не включены в опухоль, а смещены и сдавлены ею.
Диффузные глиомы характеризуются инфильтративным ростом, при этом элементы ткани мозга (нервные клетки и их отростки) могут персистировать в ткани опухоли. В патологический процесс вовлекается как белое, так и серое вещество. Истинные размеры новообразования значительно больше видимой его части. Диффузно растущие глиомы составляют 25–30% полушарных глиом у взрослых и приблизительно 30% глиом мозжечка у детей. Прогностически менее благоприятны ввиду невозможности их радикального удаления и склонности к злокачественному перерождению: около 70% доброкачественных диффузных глиом больших полушарий в дальнейшем малигнизируются.
Клиника и диагностика
Для глиальных опухолей больших полушарий головного мозга типична манифестация в виде головной боли, эпилептических припадков, психических и/или личностных изменений и очаговой неврологической симптоматики. Конкретное сочетание тех или иных симптомов определяется локализацией, гистологией и скоростью роста опухоли.
Головная боль является первым симптомом в 35% случаев глиом и выявляется у 70% больных при дальнейшем развитии заболевания. В большинстве случаев головная боль обусловлена повышением внутричерепного давления.
Отек дисков зрительных нервов той или иной степени выраженности определяется у 50% больных. В настоящее время, в связи с более ранней диагностикой, число больных с изменениями на глазном дне уменьшается.
Эпилептические припадки — первый симптом более чем в трети всех случаев глиом — бывают как парциальными, так и общими (соотношение 1:1). Чаще наблюдаются у больных с медленно растущими глиомами низкой степени злокачественности (70% случаев) и особенно с олигодендроглиомами (90%). При глиобластомах эпилептические припадки регистрируются примерно в 40% случаев. Частоту появления пароксизмальной симптоматики во многом определяет локализация опухоли. Поверхностно расположенные глиомы, особенно в области центральной борозды и в височной доле, чаще сопровождаются эпилептическими припадками. Для опухолей, расположенных субкортикально, в подкорковых узлах и в задней черепной ямке, пароксизмальная симптоматика нехарактерна.
Психические и личностные изменения в качестве первого симптома отмечены у 15–20% больных с глиомами, по мере роста опухоли выявляются у большинства больных. Проявляются нарушениями памяти и внимания, абстрактного мышления, эмоциональными расстройствами. Чаще наблюдаются при опухолях лобных долей, но могут быть обусловлены поражением других структур мозга и повышением внутричерепного давления, последнее в сочетании с дислокацией мозга проявляется снижением уровня бодрствования и угнетением сознания вплоть до сопора и комы.
Если головная боль, эпилептические припадки и изменения психики могут встречаться при глиомах любой локализации и не являются специфичными, то очаговая неврологическая симптоматика связана с поражением определенной зоны головного мозга.
Глиомы лобной доли
Часто протекают сначала без клинических проявлений. При дальнейшем росте эти опухоли могут вызывать изменения личности и психики (изменение привычек, снижение критики и памяти, дурашливость или агрессивность, асоциальное поведение). Указанная симптоматика более характерна для двустороннего поражения, реже проявляется при поражении лобной доли с одной стороны. При поражении задних отделов нижней лобной извилины (зоны Брока) доминантного полушария развивается моторная афазия. За счет некритичности к своему состоянию больные часто игнорируют появляющиеся дефекты, и обращение к врачу обычно происходит по настоянию родственников.
Опухоли височной доли
Чаще проявляются пароксизмальной симптоматикой. Припадки могут быть как простыми парциальными и заключаться в обонятельных и вкусовых галлюцинациях, состояниях типа “deja vu”, приступах ярости или удовольствия, так и сложными и развернутыми в виде изменения сознания и повторных психомоторных состояний с поведенческими автоматизмами. Опухоли также могут вызывать нарушения памяти, приводить к частичному выпадению полей зрения (верхнеквадрантная гемианопсия), головокружению и — при поражении задних отделов верхней височной извилины доминантного полушария — к сенсорной и амнестической афазии. У некоторых пациентов имеются поведенческие нарушения.
Глиомы теменной доли
Вызывают нарушение болевой, мышечно-суставной чувствительности на противоположной стороне и стереогноза. Поражение задненижних отделов теменной доли доминантного полушария может приводить к афазии, тогда как при поражении субдоминантного полушария возникает игнорирование противоположной стороны тела. Возможно также появление таких симптомов, как гемипарез, гомонимная гемианопсия (или игнорирование половины поля зрения), агнозия, апраксия, сенсорные пароксизмы и нарушение пространственного восприятия.
Глиомы затылочной доли
Приводят к развитию гомонимной гемианопсии или фотопсий. Опухоли этой локализации могут также вызывать зрительную агнозию.
Нарастание “масс-эффекта” вследствие роста опухоли и отека прилегающего мозгового вещества может стать причиной дислокации мозга и привести к развитию симптомов вклинения.
Глиомы желудочков мозга
Встречаются редко. Обычно они развиваются в прилежащих к желудочкам структурах мозга и вторично врастают в просвет желудочка. На начальных стадиях развития никак не проявляются, и первые симптомы — признаки внутричерепной гипертензии — появляются при достижении опухолью достаточно больших размеров, когда она вызывает окклюзию ликворных путей. При врастании опухоли в окружающие ткани появляются соответствующие очаговые симптомы (например стволовые — при опухолях IV желудочка, диэнцефальные — III).
Глиомы задней черепной ямки
Включают опухоли мозжечка и ствола мозга. Опухоли мозжечка проявляются нарушениями координации, статики и походки, обычно на ранних стадиях присоединяются признаки внутричерепной гипертензии, обусловленной сдавлением IV желудочка и развитием внутренней гидроцефалии. Опухоли ствола мозга встречаются чаще в детском возрасте, представляют особую, в плане лечебной тактики, группу и будут рассмотрены отдельно.
Дифференциальный диагноз
Глиомы необходимо дифференцировать с опухолями другой гистологической природы: метастазами, первичными лимфомами, доброкачественными внемозговыми опухолями, и с неопухолевыми поражениями, такими как субдуральные и внутримозговые гематомы, абсцессы, лейкоэнцефалопатия, рассеянный склероз, сосудистые мальформации, инфаркты головного мозга, васкулиты и др.
Хотя многие из этих нозоологических единиц имеют характерные радиологические признаки, в ряде случаев для уточнения диагноза необходимо прибегать к стереотаксической или открытой биопсии.
Предоперационная подготовка
При наличии эпилептических припадков в анамнезе назначаются противосудорожные препараты (обычно бензобарбитал — по 0,1 г или карбамазепин — по 0,2 г — 3 раза в сутки), лечение продолжают в течение не менее 1 года после последнего приступа. Профилактическое назначение антиконвульсантов неоправданно (в т.ч. числе и после операции).
Перитуморозный отек чаще возникает при злокачественных опухолях, приводит к усугублению “масс-эффекта” и ухудшению состояния больного. Патогенез перитуморозного отека связан с выработкой опухолью таких веществ, как фактор сосудистой проницаемости (VPF), фактор роста эндотелия сосудов (VEGF), фактор роста фибробластов (FGF2), а также глутамата и лейкотриенов.
Патогенетическое лечение состоит в назначении больному глюкокортикостероидов, которые значительно снижают синтез клетками опухоли указанных факторов. Чаще всего используется дексаметазон. В большинстве случаев начальная доза дексаметазона при выраженном отеке и повышении внутричерепного давления при глиальных опухолях головного мозга составляет 16 мг/сут. Хотя обычно эту дозу распределяют на 4 введения, биологическое время действия и утилизации препарата позволяют введение и 2 раза в сутки (предпочтительно в 6–7 и 15–16 часов). У большинства пациентов улучшение наступает уже в первые 48–72 ч. Обычно сначала купируется головная боль, а затем уменьшается выраженность неврологической симптоматики. Если применение 16 мг дексаметазона неэффективно, суточную дозу можно увеличить (вплоть до 100–120 мг).
Следует иметь в виду, что уменьшение выраженности перитуморозного отека и внутричерепной гипертензии значительно снижает вероятность интраоперационной травматизации мозга, поэтому глюкокортикостероиды в предоперационном периоде должны назначаться всем больным с глиомами. Побочные эффекты при непродолжительном парентеральном назначении дексаметазона развиваются редко, однако целесообразно профилактическое назначение препаратов, снижающих кислотность желудочного сока — ранитидина, фамотидина или омепразола. Систематическое назначение антацидных препаратов на основе алюминия гидроксида нецелесообразно, поскольку они нарушают всасывание других назначаемых внутрь лекарственных средств.
К другим мерам, снижающим интракраниальную гипертензию перед операцией, относятся:
1) приподнимание головного конца кровати приблизительно на 30 градусов, что способствует оттоку спинномозговой жидкости из полости черепа и облегчению венозного оттока;
2) назначение салуретиков (фуросемид);
3) назначение осмотических диуретиков (маннит);
4) гипервентиляция.
Эффективность всех указанных методов лечения существенно ниже по сравнению с назначением глюкокортикостероидов. Не следует ограничивать потребление жидкости.
Глиомы, локализующиеся вблизи ликворных коммуникаций, могут приводить к развитию окклюзионной гидроцефалии. В этих случаях при быстром нарастании симптоматики может возникнуть необходимость в экстренной шунтирующей операции или наружном вентрикулярном дренировании.
Принципы лечения глиом
Основные методы лечения нейроэктодермальных новообразований головного мозга, в т.ч. глиом: хирургическое удаление, дистанционная лучевая и химиотерапия. Другие методы (гипертермия, фотодинамическая, генная, иммунотерапия) — экспериментальные, применение их существенно не влияет на исход заболевания.
Основная цель хирургического лечения глиом больших полушарий — удаление основной массы опухоли и создание тем самым благоприятных условий для проведения адъювантной терапии. Накопленный опыт свидетельствует о прямой зависимости между радикальностью удаления глиом и продолжительностью жизни больного. Поэтому в каждом случае надо стремиться к максимально возможному, не приводящему к нарастанию симптоматики, удалению опухоли.
Для некоторых более редких видов доброкачественных глиальных и смешанных опухолей (пилоцитарные астроцитомы, дизэмбриопластические нейроэпителиальные опухоли и плеоморфные ксантоастроцитомы, эпендимомы и субэпендимомы, ганглиоцитомы, нейроцитомы) методом выбора является радикальное удаление новообразования.
При планировании нейрохирургического вмешательства важно учитывать локализацию опухоли, ее структуру, кровоснабжение и характер роста. Необходимо оценить как непосредственный риск операции, так и долгосрочный прогноз. Риск операции особенно велик у пожилых больных с глубинно или двусторонне расположенными опухолями и низким (менее 70) индексом Карновского. Возраст и состояние больного до операции (оцениваемое по индексу Карновского) — независимые факторы, позволяющие предсказать продолжительность жизни.
Особенности хирургической техники удаления глиом зависят от отношения опухоли к функционально значимым зонам мозга и от характера ее роста. При отграниченных глиомах (пилоидная астроцитома, плеоморфная ксантоастроцитома) цель операции — радикальное удаление опухоли. Желательно, чтобы доступ к ней осуществлялся в стороне от функционально значимых областей. При диффузно растущих опухолях стремление к радикализму за счет удаления перитуморозной зоны мозга неоправданно, особенно при близости опухоли к функционально значимым зонам мозга. Для предупреждения травматизации мозга используется как предоперационная (при помощи функциональной МРТ), так и интраоперационная идентификация моторно-сенсорной, зрительной коры, речевых центров. Для ориентации хирурга в пределах опухоли и прилежащих структурах мозга используются методы нейронавигации.
Операции выполняются под микроскопом с использованием обычного набора микрохирургических инструментов. Значительно облегчает и ускоряет операцию применение ультразвукового аспиратора. Ткань опухоли часто бывает кровоточивой, но после макроскопически полного удаления глиомы кровотечение, в подавляющем большинстве случаев, практически полностью прекращается.
После удаления опухоли и осуществления гемостаза рана закрывается обычным методом с обязательным герметичным зашиванием ТМО и укладыванием на место костного лоскута.
После операции, помимо коррекции возможных нарушений гомеостаза и продолжения антибиотикопрофилактики, обязательно назначение глюкокортикостероидов (в течение минимум 5–6 сут). У больных с глиомами увеличен риск тромбоэмболических осложнений, что при наличии дополнительных факторов риска делает показанной пневматическую компрессию или электростимуляцию мышц ног и назначение препарата низкомолекулярного гепарина.
Летальность при удалении конвекситальных глиом не превышает 1%. Самое частое осложнение — нарастание неврологического дефицита (10%). Кровоизлияние в ложе опухоли встречается менее чем у 5% больных и обусловлено обычно наличием остатков опухоли. При своевременной диагностике (необходим тщательный мониторинг состояния больных и круглосуточная работа компьютерного томографа) это осложнение не фатально, удаление гематомы в первые часы после ее образования в большинстве случаев не ведет даже к дополнительной инвалидизации больного.
Лучевая терапия применяется при глиомах как низкой, так и высокой степеней злокачественности. Однако если при опухолях высокой степени злокачественности ее роль бесспорна и она входит в стандартно рекомендуемое лечение, то ее ценность при астроцитомах низкой степени злокачественности продолжает обсуждаться. По-видимому, лучевая терапия существенно не влияет на продолжительность жизни больных с доброкачественными глиомами, и ее целесообразно применять только в определенных случаях при заведомо частичном удалении опухоли. При пилоидных астроцитомах, плеоморфных ксантоастроцитомах, дизэмбриопластических нейроэктодермальных опухолях, олигодендроглиомах лучевая терапия обычно не применяется.
При злокачественных глиомах рекомендуются ограниченные объемы облучения, включающие контрастируемый объем опухоли с 2–3 см краевым захватом. СОД— примерно 60 Гр за 30–33 фракции. Для пациентов с плохими прогностическими факторами и ограниченным ожидаемым сроком выживания паллиативный курс лечения (30 Гр за 10 фракций в течение 2 нед) может обеспечивать адекватный симптоматический контроль без чрезмерно продолжительного лечения.
Увеличение дозы выше 60–64 Гр не приводит к улучшению результатов лучевой терапии. В большинстве клинических испытаний при многократном ежедневном фракционировании дозы, используя 2 или 3 ежедневных фракции (от 0,89 до 2 Гр при СОД от 30 до 81.6 Гр), также не удалось показать какого-либо увеличения выживаемости.
При облучении доброкачественных глиом СОД обычно составляет 50–55 Гр (до 60 Гр при эпендимомах).
Химиотерапия чаще всего включается в комплекс лечения больных с анапластической астроцитомой (АА), анапластической олигодендроглиомой (АО) и анапластической олигоастроцитомой (АОА). Эффективны производные нитрозомочевины (ломустин, кармустин, нимустин, фотемустин), часто сочетаемые с другими цитостатиками.
Наиболее распространенный режим химиотерапии глиом — PCV (прокарбазин + ломустин (CCNU) + винкристин). Ломустин иногда заменяют нимустином.
Оценка эффективности комплексного лечения производится после каждых 2–3 курсов химиотерапии на основе КТ и/или МРТ с контрастированием. Общая продолжительность химиотерапевтического лечения составляет около года с момента операции. Обычно проводится 6 курсов химиотерапии, но иногда число курсов приходится уменьшать из-за выраженной гематологической или иной токсичности.
При анапластической олигодендроглиоме и анапластической олигоастроцитоме возможна монотерапия фотемустином, который вводится в/в в дозе 130 мг/м2 в 1, 8, 15, 79, 103 и 137 дни лечения.
В последнее время широко применяется монотерапия злокачественных глиом темозоломидом, преимущество которого — возможность перорального применения. Назначается в дозе 200 мг/м2 ежедневно в течение 5 дней, курсы лечения повторяются через 28 дней (считая с 1 дня химиотерпии).
При глиобластомах эффективность химиотерапии меньше, и назначаться она может не сразу после лучевой, а при признаках продолженного роста опухоли, в т.ч. и без повторной операции. В качестве монотерапии можно использовать фотемустин или темозоломид, причем последний может применяться на фоне лучевой терапии, или сочетание карбоплатина с этопозидом и нимустином. Такие курсы лечения проводятся каждые 4–6 нед в зависимости от гематологической токсичности.
В случаях, когда хирургическое лечение злокачественной глиомы представляется нецелесообразным из-за диффузного характера роста опухоли или ее расположения в функционально значимых зонах головного мозга, возможно проведение химиотерапии в качестве самостоятельного метода лечения или в сочетании с лучевой терапией.
При продолженном росте доброкачественных глиом, обычно возникающем в отдаленные сроки после первичной операции, показано их повторное удаление. Надо учитывать, что в большинстве случаев рецидив доброкачественных глиом обусловлен их озлокачествлением, что требует назначения соответствующего адьювантного лечения.
К повторным операциям при продолженном росте злокачественных глиом следует подходить более осторожно. Общепризнанной тактики не существует. Она определяется типом предшествующего лечения, временем, прошедшим с его момента, и, самое главное, состоянием больного. Обычно показанием к повторной операции считается наличие симптомов внутричерепной гипертензии при относительно высоком функциональном статусе пациента (не ниже 60 баллов по шкале Карновского). После реоперации можно проводить химиотерапию по схемам, не применявшимся ранее, повторить курс дистанционной гамма-терапии (если после первичного облучения прошло не менее 1 года), использовать радиохирургию или экспериментальные методики лучевой терапии (интерстициальную брахитерапию или борон-нейтрон-захватную терапию).
В редких случаях глиом низкой степени злокачественности, расположенных в функционально значимых зонах, не накапливающих контраст при КТ, не вызывающих перитуморозного отека и “масс-эффекта” и проявляющихся только редкими эпилептическими приступами, контролируемыми противосудорожной терапией, можно прибегать к динамическому наблюдению. В этой ситуации МРТ или КТ производится 1 раз в год. При появлении очагов накопления контрастного вещества или при увеличении размеров опухоли производится стереотаксическая биопсия либо удаление опухоли.
Астроцитомы
Доброкачественные астроцитомы составляют около 15% всех глиом. Они могут быть отграниченными (узловыми) и инфильтративными (диффузно растущими). К группе узловых, медленно растущих астроцитом, в первую очередь относятся пилоидные астроцитомы, встречающиеся преимущественно в детском и юношеском возрасте и имеющие “излюбленную” локализацию в полушариях мозжечка, среднем мозге и хиазме (см. далее).
Диффузно растущие астроцитомы локализуются преимущественно супратенториально, в 40% случаев поражается лобная доля. Характерно длительное развитие заболевания. Наиболее часто, в 70% случаев, отмечаются эпилептические припадки, которые на протяжении нескольких лет могут быть единственным симптомом. Реже заболевание манифестирует признаками повышенного внутричерепного давления (40%), изменениями психики (15%) или появлением локальной неврологической симптоматики (парез, речевые нарушения и др.).
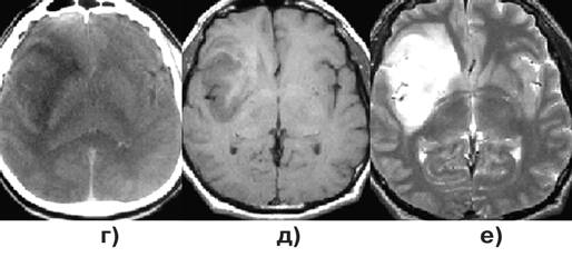
Для доброкачественных диффузных астроцитом при КТ наиболее характерна зона понижения плотности, не имеющая четких границ с окружающим мозговым веществом (рис. 1а, г). Внутривенное введение контрастного вещества обычно не приводит к повышению рентгеновской плотности очага. Разрешающая способность КТ недостаточна для идентификации границ опухоли, особенно изоплотностной по отношению к мозговому веществу.
МРТ — более точный метод визуализации астроцитом. Доброкачественные астроцитомы представляются изо— или гипоинтенсивными на Т1-взвешенных изображениях (рис. 1б, д). В режиме Т2, наиболее информативном при данной патологии, эти опухоли могут выглядеть как сравнительно хорошо отграниченная зона гомогенно повышенного сигнала (рис. 1в, е). “Масс-эффект” выражен, как правило, незначительно, контраст накапливается редко. Так как эти опухоли обычно диагностируются только на стадии выраженных клинических проявлений, для них типично поражение одновременно нескольких долей мозга. Перифокальный отек не характерен.


Рисунок 1. Астроцитомы:
а — астроцитома левой заднелобной области (КТ с контрастным усилением); б — астроцитома левой заднелобной области (МРТ, Т1-взвешенные изображения); в — астроцитома левой заднелобной области (МРТ, Т2-взвешенные изображения); г — фибриллярная астроцитома правой лобно-височной области (КТ с контрастным усилением); д — фибриллярная астроцитома правой лобно-височной области (МРТ, Т1-взвешенные изображения); е — фибриллярная астроцитома правой лобно-височной области (МРТ, Т2-взвешенные изображения)
Инфильтративно растущие астроцитомы могут распространяться и за пределы видимой на Т2-взвешенных томограммах зоны изменения сигнала. Для них характерно поражение как белого, так и серого вещества мозга. Это приводит к стиранию обычно видимых на МРТ границ между белым и серым веществом мозга. Извилины в этих случаях выглядят утолщенными, определяется “масс-эффект” в виде смещения окружающих структур мозга. Опухоли большой распространенности сопровождаются дислокацией мозга с развитием синдромов вклинения. Большинство доброкачественных астроцитом — сóлидные новообразования.
Учитывая, что астроцитарные опухоли могут постепенно озлокачествляться, в астроцитомах низкой степени злокачественности иногда определяются зоны накопления контрастного вещества, что более характерно для участков опухоли с более агрессивным ростом.
Основной метод лечения доброкачественных глиом, особенно отграниченных, — их хирургическое удаление. Лучевая терапия может быть показана после частичного удаления опухоли у больных старше 40 лет. Химиотерапия неэффективна.
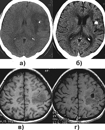
Если удаление опухоли сопряжено с риском нарастания неврологической симптоматики, может быть показано проведение только стереотаксической биопсии. При верификации глиомы низкой степени злокачественности возможно проведение курса дистанционной гамма-терапии без удаления опухоли (рис. 2а, б). В отдельных случаях оправдано динамическое наблюдение за больным (рис. 2в, г).

Рисунок 2. Фибриллярная астроцитома:
а — фибриллярная астроцитома левой лобно— височной области (КТ с контрастным усилением до лучевой терапии); б — фибриллярная астроцитома левой лобно-височной области (КТ с контрастным усилением через 5 лет после лучевой терапии); в — фибриллярная астроцитома левой лобно-височной области (МРТ, Т1-взвешенные изображения, до стереотаксической биопсии); г — фибриллярная астроцитома левой лобно-височной области (МРТ, Т1-взвешенные изображения, через 4 года после стереотаксической биопсии)
Возраст, состояние больного перед операцией и радикальность удаления опухоли — наиболее важные прогностические факторы. Медиана продолжительности жизни больных с доброкачественными астроцитомами составляет около 8 лет.
Анапластические астроцитомы (АА) — инфильтративная опухоль со слабо очерченными границами. При гистологическом исследовании выявляются признаки анаплазии, характерна гетерогенность гистоструктуры, когда участки, имеющие доброкачественное и злокачественное строение, чередуются между собой. Самым надежным критерием, позволяющим дифференцировать доброкачественную астроцитому от анапластической, является наличие в последней фигур митозов.
АА могут встречаться в любом возрасте, но чаще в 40–50 лет. Могут возникать как de novo, так и в результате трансформации доброкачественных глиом. Составляют 30% всех глиом.
В клинической картине наиболее характерны эпилептические припадки (как первое проявление заболевания они отмечаются приблизительно в половине случаев), признаки повышенного внутричерепного давления (40%), изменения психики (20%); очаговые неврологические симптомы в последние годы выявляются только у 10–15% больных. Чаще всего поражается лобная, затем височная и теменная доли.
При КТ опухоль выглядит как зона негомогенного изменения плотности. После введения контрастного вещества в большинстве случаев гетерогенность опухоли увеличивается. Участки повышения плотности часто имеют вид колец и полуколец, внутри которых определяются участки низкой плотности — кисты. Вокруг опухоли обычно определяется различной степени выраженности зона отека мозга, для которой характерна пониженная плотность.
На МР-томограммах АА чаще выглядит как слабо отграниченное образование, имеющее гетерогенный сигнал как на Т1-, так и на Т2-изображениях. На Т1-взвешенных МРТ выявляются участки смешанной изо— и гипоинтенсивности сигнала (рис. 3а), на фоне которых могут наблюдаться геморрагические очаги с типичным повышением интенсивности сигнала. На Т2-взвешенных МРТ опухоль имеет вид обширной зоны гетерогенного повышения интенсивности сигнала (рис. 3б). В центральных отделах опухоли могут выявляться очаги кистозного перерождения. В этом же режиме лучше оценивается перитуморозный отек, имеющий повышенный сигнал и характерную форму в виде расходящихся лучей. При опухоли больших размеров и/или выраженном отеке обычно определяется значительный “масс-эффект”. Для большинства АА типично интенсивное усиление сигнала после введения контраста, хотя могут встречаться опухоли без накопления контрастного вещества (и без перитуморозного отека). Распространение по трактам белого вещества, происходящее в большинстве случаев при АА, приводит к тому, что биопсия обнаруживает опухолевые клетки в участках мозга, располагающихся вообще вне зоны накопления контраста и вне повышенного сигнала на Т2-взвешенных МРТ. Иногда отмечается распространение АА по эпендиме, мягкой оболочке и субарахноидальному пространству.

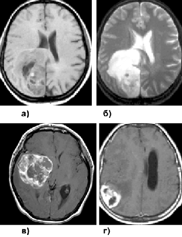
Рисунок 3. Анапластические астроцитомы:
а — анапластическая астроцитома правой темено-затылочной области (МРТ, Т1-взвешенные изображения; б — анапластическая астроцитома правой темено-затылочной области (МРТ, Т2-взвешенные изображения); в — глиобластома правой височной области, распространяющаяся на подкорковые узлы (МРТ, Т1-взвешенные изображения); г — лиосаркома правой теменной области (МРТ, Т1-взвешенные изображения)
Лечение этих опухолей заключается в максимально возможной хирургической резекции с последующей лучевой терапией и химиотерапией. Проведение после операции лучевой терапии и курсов полихимиотерапии обеспечивает 2-летнюю выживаемость 50% больных и 5-летнюю — 20%. Средняя продолжительность жизни после операции — около 2,5 лет.
Дополнительное лечение при рецидивах включает в себя повторные операции, интерстициальную лучевую терапию и химиотерапию. Дальнейшее озлокачествление опухоли (до глиобластомы) наблюдается в 45% случаев.
Факторы, имеющие значение для прогноза: возраст больных, функциональное состояние на момент операции, объем неудаленной части и локализация опухоли.
Глиобластома (ГБ)
Наиболее злокачественная из всех глиальных опухолей. ГБ составляют 30% первичных опухолей мозга и 50% глиом. ГБ — это наиболее частая супратенториальная опухоль у взрослых. Возникает обычно у больных старше 50 лет, несколько чаще у мужчин.
Макроскопически ГБ представляет собой образование гетерогенного строения с центральным некрозом, богатое васкуляризованной стромой, часто с кровоизлияниями. При гистологическом исследовании ГБ характеризуется резко выраженной атипией клеток и высокой митотической активностью. Характерная черта ГБ — множественные очаги некроза.
Как и у других инфильтративных глиом, нет четкой границы между опухолью, зоной отека и нормальным мозговым веществом. Симптомы повышения внутричерепного давления выявляются в 80% случаев, быстро прогрессируют и в большинстве наблюдений оказываются первым симптомом заболевания. Эпилептические припадки в качестве первого симптома заболевания встречаются в 30% случаев. Также могут выявляться изменения психики и очаговые симптомы. Часто проходит меньше 1 мес от появления первых признаков заболевания до практически полной инвалидизации больного.
В большинстве случаев ГБ поражает большие полушария головного мозга и чаще локализуется в глубинных отделах белого вещества лобной (40%), височной и теменной долей мозга (по 25%), в мозолистом теле с распространением на одно или оба полушария в форме “бабочки”. Относительно редко встречается в базальных ганглиях и задней черепной ямке, в т.ч. в стволе головного мозга, а также в спинном мозге.
На КТ плотность опухоли весьма гетерогенна (рис. 4а). Центральная зона низкой плотности представляет некроз, выявляемый в 95% случаев. Границы опухоли нечеткие. Петрификаты встречаются редко. Часто определяются кровоизлияния различной давности. Опухоль обычно окружена зоной перифокального отека, распространяющегося в белом веществе больших полушарий. ГБ обычно активно накапливают контраст. Усиление после введения контрастного вещества выражено часто неоднородно, контрастирование имеет характерный вид кольца с неоднородным внутренним контуром. В ряде случаев ГБ отсутствует узловой компонент, и опухоль растет инфильтративно, широко поражая полушарие. Рентгенологически признаки повреждения ГЭБ (накопление контраста) при этом нередко отсутствуют, и контрастное усиление мало изменяет характеристику сигнала от опухоли.
МР-проявления ГБ в целом отражают патоморфологические изменения, демонстрируя значительную гетерогенность опухоли. На Т1-взвешенных томограммах выявляется плохо отграниченное объемное образование со смешанным (изогипоинтенсивным) сигналом, центральным некрозом, которому соответствует сниженный по отношению к опухолевой массе сигнал (рис. 3в, 4в). На Т2-взвешенных изображениях выявляются участки гипо-, изо-, гиперинтенсивного сигнала от стромы ГБ, зоны некроза, кист и кровоизлияний. Выраженный “масс-эффект” и распространенный отек белого вещества часто сопровождают и небольшие по размерам опухоли (рис. 4б). Границы опухоли сливаются с перифокальным отеком.

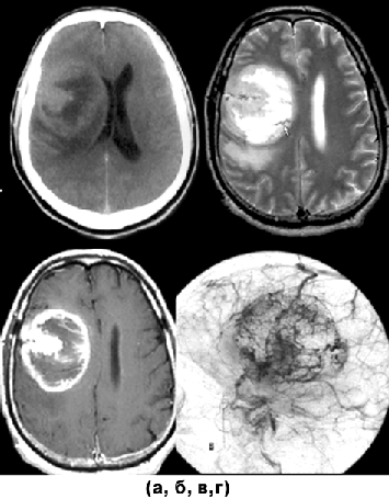
Рисунок 4. Глиобластома правой височно-теменной области, распространяющаяся на подкорковые узлы:
а — КТ с контрастным усилением; б — МРТ, Т2-взвешенные изображения; в — МРТ, Т1-взвешенные изображения, с контрастным усилением; г — каротидная АГ
Как и при АА, опухолевые клетки ГБ могут быть обнаружены за пределами зоны усиления сигнала и перифокального отека, выявляемых при МРТ. ГБ широко и быстро распространяются по трактам белого вещества. Типично также распространение на противоположное полушарие через мозолистое тело, переднюю и заднюю комиссуры, реже вдоль внутренней и наружной капсул (рис. 5а, б, г). При полушарных ГБ иногда определяется распространение опухоли в ножки мозга и в заднюю черепную ямку.
В большей части наблюдений по мере своего развития ГБ формирует отдельные узлы, внешне отстоящие друг от друга, но микроскопически связанные между собой. В конечной стадии может наблюдаться распространение опухоли по эпендиме и субарахноидальным пространствам головного и спинного мозга.
Так как ГБ часто бывают сильно васкуляризованы (рис. 4г), то на МР-томограммах, особенно Т2-взвешенных, могут выявляться сосуды опухоли (рис. 4б). В 5% наблюдений встречаются множественные ГБ (рис. 5в), для дифференциального диагноза с метастазами необходима стереотаксическая биопсия.

Рисунок 5. Примеры роста и распространения глиобластомы (МРТ, Т1-взвешенные изображения с контрастным усилением, аксиальная проекция):
а — "передняя бабочка" — глиобластома медиальных отделов обеих лобных долей, больше слева и колена мозолистого тела; б — "задняя бабочка" — глиобластома медиальных отделов теменно-затылочных с обеих сторон, больше справа и валика мозолистого тела; в — первично-множественный рост глиобластомы; г — перивентрикулярное распространение глиобластомы, больше вокруг передних рогов обох боковых желудочков
В качестве отдельного варианта выделяют глиосаркому (ГС), представляющую собой сочетание ГБ и ангиосаркомы (или фибросаркомы). Макроскопически ГС — плотная опухоль с центральным некрозом. Гистологический диагноз ГС зависит от идентификации глиального и мезенхимального опухолевого компонентов. Саркоматозная трансформация встречается менее чем в 2% ГБ.
Большинство пациентов с ГС — лица в возрасте 50–70 лет. В 25% случаев ГС дают экстракраниальные метастазы (наличие которых обычно не влияет на прогноз заболевания, т.к. основная причина смерти у этих больных — интракраниальный процесс). Для ГС типична поверхностная локализация, инфильтрация ТМО. Чаще поражается височная доля.
Проявления ГС на КТ вариабельны. Опухоль может походить на менингиому или ГБ. ГС обычно менее гомогенны, чем менингиомы, не имеют широкого прикрепления к ТМО и всегда окружены перифокальным отеком. Выраженная гетерогенность или неоднородное кольцевидное усиление после введения контрастного вещества типичны для ГС.
Учитывая гетерогенность строения, Т1 и Т2-взвешенные МР-томограммы выявляют негомогенную опухоль (рис. 3г). В ней часто наблюдается некроз и кровоизлияния. После введения контрастного вещества обычно отмечается гетерогенное усиление сигнала от опухоли. На основе МР-характеристик ГС невозможно дифференцировать от ГБ.
Тактика лечения, результаты и прогноз при ГС такие же, как и при ГБ.
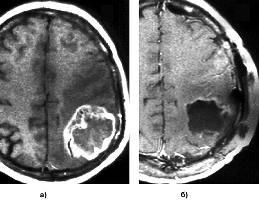
В 5–10% всех случаев ГБ и ГС отмечается метастазирование в пределах ЦНС. ГБ имеет наихудший прогноз среди всех первичных опухолей ЦНС. Средняя продолжительность жизни не превышает 12 мес. Хотя некоторые авторы считают достаточной частичную резекцию этих агрессивно растущих инфильтративных опухолей, преобладает мнение о необходимости максимально возможного радикального удаления. Стандартным является применение адъювантной терапии в виде внешней лучевой терапии и химиотерапии, в основном на базе схем, использующих препараты нитрозомочевины. Средняя продолжительность жизни после удаления, удаления с последующим курсом лучевой терапии и после удаления с последующим курсом лучевой терапии и химиотерапии составляет в среднем 4, 9–10 и 10–12 мес соответственно. При применении агрессивной комбинированной мультимодальной химиотерапии, включающей последовательное применение различных сочетаний препаратов, повторных операций и внутритканевой лучевой терапии, показатель средней продолжительности жизни больных увеличивается до 12–15 мес. Менее 10% составляет 2-летняя выживаемость, а 5-летняя — около 2%. Более благоприятный прогноз у больных молодого возраста, с исходным удовлетворительным состоянием и при возможности радикального удаления опухоли (рис. 6а, б). Прогноз для больных старше 65 лет очень плохой.

Рисунок 6. МРТ, Т1-взвешенные изображения с контрастным усилением до (а) и после (б) удаления глиобластомы теменно-затылочной области слева. Пример радикального ("тотального") удаления — участков накопления контраста после операции не выявляется
Пилоидные астроцитомы (ПА)
Составляют 2% всех случаев глиом, но в детском возрасте около 1/3 глиальных опухолей — ПА, в связи с чем эти опухоли иногда называют ювенильными астроцитомами. Большинство пилоидных астроцитом мозжечка выявляется в возрасте до 20 лет жизни и имеет пик встречаемости в возрасте 10–13 лет. Полушарные ПА наблюдаются на декаду позже с пиком около 20 лет. У больных до 12 лет встречаются 3/4 опухолей зрительных путей. Очень редко ПА наблюдаются у взрослых до 40–50 лет. Наиболее часто локализуются в мозжечке и стволе мозга (60%), несколько реже — в хиазме, диэнцефальной области (20%) и крайне редко — в больших полушариях мозга (10%).
Макроскопически ПА имеют вид узла серо-розового цвета, четко отграниченного от мозговой ткани, более чем в 50% опухолей обнаруживаются кисты, иногда значительно превышающие размеры компактной части опухоли, которая в этих случаях имеет вид узелка, расположенного на одной из стенок кисты. ПА редко малигнизируются (не более чем в 5% наблюдений), причем чаще злокачественной трансформации подвергаются опухоли с локализацией в больших полушариях.
Клинические проявления зависят от локализации опухоли. Опухоли мозжечка проявляются симптомами повышенного внутричерепного давления, связанными с развитием гидроцефалии, мозжечковыми расстройствами или парезом отводящего нерва; опухоли хиазмы — ухудшением зрения, эндокринными нарушениями или симптомами гидроцефалии; для ПА больших полушарий характерны головная боль, эпилептические припадки или очаговая неврологическая симптоматика.
На КТ ПА обычно выглядят как округлые или овальные образования, хорошо отграниченные и имеющие гипо— или изоденсные характеристики (рис. 7а). В 10% всех ПА обнаруживаются петрификаты. Контрастное усиление носит вариабельный характер. Некоторые опухоли имеют сóлидное строение и контрастируются гомогенно, другие имеют пристеночный узел, накапливаюший контраст на фоне большой кисты. ПА, располагающиеся вблизи от 4 желудочка мозга, часто сопровождаются развитием обструктивной гидроцефалии.
На МРТ ПА выглядят как хорошо отграниченное объемное образование с макрокистами. В режиме Т1 ПА обычно имеют гипо— или изоинтенсивный сигнал, а на Т2-взвешенных изображениях опухоль чаще выглядит гиперинтенсивной. При введении препарата гадолиния отмечается интенсивное усиление сигнала от сóлидной части опухоли, в основном гетерогенного характера (рис. 7б).
ПА — медленно растущие новообразования, течение и симптомы которых зависят от локализации. Полное удаление дает практически 100% гарантию отсутствия рецидива, при этом адьювантная терапия не требуется. В целом средняя 5-летняя продолжительность жизни после операции составляет 85–100%; 10-летняя — 85% и 20-летняя — 70%. Даже больные с нерадикально удаленной опухолью гипоталамо-хиазмальной локализации имеют длительную выживаемость. Продолжительность жизни 5 и 10 лет в этой группе составляет 90 и 75% соответственно.
Метод выбора лечения этих опухолей — по возможности полное их удаление. Необходимость лучевой терапии дискутируется, тем не менее, некоторыми авторами ее проведение рекомендуется после частичного удаления опухоли у больных старше 3 лет; в младшем возрасте может быть применена химиотерапия.
Субэпендимарная гигантоклеточная астроцитома
Доброкачественная, медленно растущая опухоль, возникает, вероятно, за счет опухолевой трансформации гамартомы при туберозном склерозе.
Макроскопически имеет вид узла с бугристой поверхностью, который растет из стенки и локализуется в просвете одного из боковых желудочков с частичной или полной его обтурацией.
При нейрорентгенологических исследованиях часто выявляются множественные петрификаты и следы бывших кровоизлияний. Гетерогенность строения опухоли при МРТ проявляется наличием смешанного сигнала на Т1— и Т2-взвешенных изображениях.
При отграниченных астроцитомах после их радикального удаления возможны длительные ремиссии, в ряде случаев до 20 лет и более.
Плеоморфная ксантоастроцитома
Редко встречающаяся опухоль (менее 1% всех глиом), относится к отграниченным астроцитомам, наблюдается у лиц молодого возраста, локализуется в коре и прилежащем белом веществе и прорастает в мягкие мозговые оболочки; большинство опухолей содержит крупные кисты.
Клиническая картина характеризуется длительно существующим эпилептическим синдромом. Рентгенологическая картина очень характерна: выявляется конвекситально расположенное, обычно в височной области, объемное образование, имеющее хорошо контрастируемую сóлидную часть и крупные кисты, при этом практически всегда отсутствуют признаки перитуморозного отека (рис. 7в).

Рисунок 7. Пилоидные астроцитомы:
а — ПА области подкорковых узлов справа (КТ с контрастным усилением, аксиальная проекция); б — ПА области подкорковых узлов справа (МРТ, Т1-взвешенные изображения с контрастным усилением); в — плеоморфная ксантоастроцитома теменно-затылочной области слева (МРТ, Т1-взвешенные изображения с контрастным усилением); г — олигодендроглиома заднелобно-височной области, распространяющейся на область подкорковых узлов слева (КТ с контрастным усилением)
Гистологически опухоль характеризуется резко выраженным полиморфизмом ядер с наличием гигантоядерных и многоядерных клеток-"монстров". Несмотря на выраженный клеточно-ядерный полиморфизм, плеоморфная ксантоастроцитома сейчас расценивается как биологически доброкачественная опухоль с медленным темпом роста, относится ко 2 степени злокачественности. Тем не менее, описаны случаи злокачественной трансформации этих опухолей с появлением в их структуре фигур митозов и очагов некроза, в результате чего плеоморфная ксантоастроцитома приобретает сходство с глиобластомой.
Хирургическое лечение — основное. При тотальном удалении 5-летняя выживаемость составляет 80%, а 10-летняя — 70. Основной фактор, имеющий значение для прогноза, — радикальность удаления опухоли. Некоторыми авторами рассматривается возможность применения лучевой и/или химиотерапии при наличии явных признаков злокачественности и/или рецедивировании опухоли, что наблюдается достаточно редко.
Олигодендроглиома (ОДГ)
Развивается из специфического типа глиальных клеток — олигодендроцитов. Составляет 4% всех первичных интракраниальных опухолей, встречается в 85% случаев у лиц старше 40 лет, немного чаще у мужчин.
Супратенториально располагаются 90% опухолей, при этом чаще поражается лобная доля (50% наблюдений) и реже всего — затылочная (5%). Опухоль может распространяться в просвет бокового или III желудочков.
ОДГ — медленно растущие доброкачественные некапсулированные инфильтративные опухоли белого вещества мозга. Располагаются в основном паравентрикулярно. Характерно наличие очагов кистозной дегенерации. Микроскопически опухоль состоит из мономорфных клеток, равномерно распределенных на различных участках.
Малигнизация ОДГ приводит к возникновению анапластической олигодендроглиомы и проявляется клеточной атипией, появлением в опухоли митозов и пролиферации эндотелия сосудов. Анапластические опухоли составляют 10% ОДГ.
Обычно заболевание начинается с эпилептических припадков (более чем 50% случаев), которые в течение длительного времени могут оставаться единственным проявлением опухоли; как и при других глиомах, могут выявляться признаки внутричерепной гипертензии и очаговые симптомы.
Характерный рентгенологический признак — наличие петрификатов в опухоли, выявляемых при КТ в 90% наблюдений (рис. 7г). Ткань опухоли бывает гипо— или изо изоденсна по сравнению с окружающим мозгом. Контрастное вещество 2/3 ОДГ накапливают слабо. Редко выявляются кистозные или геморрагические изменения. Контрастное усиление, как и перитуморозный отек, характерны лишь для анапластических ОДГ.
МРТ выявляет опухоль со смешанным гипо— и изоинтенсивным сигналом на Т1-взвешенных изображениях и с фокусами гиперинтенсивности на томограммах в режиме Т2. Усиление неоднородно и средней степени выраженности. Хотя МРТ — менее чувствительный метод, чем КТ, в определении опухолевых петрификатов, но она выше в идентификации распространенности опухоли.
Лечение обычно заключается в максимально возможном удалении опухоли. Ценность лучевой терапии при ОГД дискутабельна. Рандомизированных исследований роли лучевой терапии в лечении олигодендроглиом нет. Химиотерапия в режиме PCV несомненно эффективна при анапластических олигодендрогломах, существенно увеличивает продолжительность жизни больных и является сегодня важной частью их комбинированного лечения. Медиана продолжительности жизни больных с ОДГ составляет около 6 лет, с анапластическими ОДГ — около 2,5 лет. Наиболее благоприятные прогностические факторы, помимо отсутствия анаплазии: наличие кальцифиатов в опухоли и хорошее функциональное состояние больного перед операцией.
Олигоастроцитомы (ОА)
Глиальные новообразования, состоящие как из клеток, характерных для ОДГ, так и для диффузных астроцитом 2 степени злокачественности. Составляют около 2% всех глиом. Располагаются преимущественно в лобной (65%) и височной (20%) долях мозга.
Клинические проявления сходны с таковыми при астроцитомах и ОДГ. Нейрорадиологически не отличаются от ОДГ. Кальцификаты выявляются приблизительно в 15% всех случаев, около половины ОА накапливают контраст.
Анапластические ОА (3 степень злокачественности) отличаются более быстрым развитием заболевания и менее благоприятным прогнозом. Стандартное лечение — максимально возможное удаление с последующими курсами лучевой терапии и химиотерапии в режиме PCV. Отмечено, что анапластические ОА имеют лучший прогноз по сравнению с “чистыми” АА. Эта же закономерность существует и для глиобластом, когда присутствие олигодендроглиального клеточного компонента связано с лучшим прогнозом и более высокой продолжительностью жизни.
Средняя продолжительность жизни — около 5 лет. Прогноз более благоприятен у лиц молодого возраста и при полном удалении опухоли.
Эпендимомы
Глиальные опухоли, возникающие из клеток эпендимы и локализующиеся в различных отделах нервной системы, в основном интравентрикулярно или паравентрикулярно.
Выделяют эпендимому, анапластическую эпендимому и субэпендимому.
Существует несколько гистологических вариантов доброкачественной эпендимы: “классическая” или клеточно-отростчатая, светлоклеточная, папиллярная и миксопапиллярная. Последний вариант обнаруживается исключительно в области конского хвоста и конечной нити спинного мозга.
Эпендимомы составляют 5% всех внутричерепных и 60% спинальных глиом. У детей встречаются в 3 раза чаще, чем у взрослых. Приблизительно 60% интракраниальных эпендимом локализуются в задней черепной ямке, обычно в области III желудочка.
Клинические проявления интракраниальных эпендимом зависят от расположения опухоли. Наиболее характерны признаки внутричерепной гипертензии.
При КТ эпендимомы выглядят как зона умеренного повышения плотности, округлой формы с относительно ровными контурами, опухоль может содержать кисты и петрификаты. Введение контрастного вещества в большей части случаев вызывает повышение плотности опухоли. Отек вокруг опухоли небольшой или отсутствует. Поскольку эпендимомы, как правило, связаны со стенкой желудочка, их рост вызывает деформацию или окклюзию желудочковой системы и сопутствующую гидроцефалию.
МРТ дифференцировка эпендимом от других глиом строится в основном на их локализации, а не на различиях в интенсивности сигнала или степени контрастного усиления. Гетерогенность структуры опухоли обусловлена наличием кист (рис. 8а, б), петрификатов, опухолевой сосудистой сети. После контрастного усиления отмечается средней интенсивности негомогенное усиление. Дифференциальный диагноз эпендимомы бокового желудочка необходимо проводить с субэпендимомами, нейроцитомами и астроцитомами.
Эпендимомы — в основном хорошо отграниченные образования, что делает возможным их радикальное удаление. Однако в 10% случаев эпендимомы (чаще анапластические) метастазируют по ликворным путям.
Продолжительность жизни больных с эпендимомами определяется зачастую не столько степенью анаплазии, сколько радикальностью удаления опухоли. Так, продолжительность жизни больных, перенесших тотальное удаление анапластической эпендимомы, в среднем на 5 лет больше, чем после частичного удаления доброкачественной эпендимомы; 5-летняя выживаемость составляет в среднем около 50%. Риск рецидива опухоли существенно снижается через 2 года после операции.

Рисунок 8. Эпендимома и субэпендимома:
а+б — эпендимома, расположенная пери— и интра-вентрикулярно в области переднего рога правого бокового желудочка (МРТ с контрастным усилением); а — Т1-взвешенные изображения, б — Т2-взвешенные изображения
Ранее считалось, что эпендимомы (в особенности злокачественные) обладают высокой радиочувствительностью, поэтому широко использовалась лучевая терапия. В последнее время эта точка зрения подвергается сомнению.
Субэпендимома представляет собой опухоль, в структуре которой сочетаются гистологические признаки эпендимомы и астроцитомы. Субэпендимомы локализуются в просветах боковых желудочков, IV желудочка, чаще прорастая его дно, иногда распространяются интрамедуллярно. Субэпендимомы боковых желудочков достаточно часто протекают бессимптомно и становятся случайной находкой на аутопсии.
Макроскопически опухоль имеет вид плотного узла, исходящего из стенки желудочка и расположенного в его просвете. Для субэпендимом характерны богатая васкуляризация и обилие микрокист (рис. 8в, г). Субэпендимомы прогностически благоприятны. Опухоли боковых желудочков в большинстве случаев могут быть удалены тотально. Тотальное удаление опухолей, исходящих из дна IV желудочка часто невозможно, однако темп роста этих опухолей крайне низок, в связи с чем безрецидивный период может быть достаточно продолжительным.
Опухоли сосудистого сплетения
Развиваются из эпителия сосудистых сплетений, составляют около 1,5% всех новообразований ЦНС. Чаще опухоль сосудистого сплетения локализуется в боковом желудочке в области желудочкового треугольника, либо в IV желудочке (с возможным распространением через отверстие Лушки в область мосто-мозжечкового угла). Редко опухоль развивается из сосудистого сплетения III желудочка.
Опухоли сосудистых сплетений встречаются во всех возрастных группах, однако несколько чаще у детей и лиц молодого возраста.
Среди опухолей сосудистого сплетения выделяют хориоидпапиллому, анапластическую хориоидпапиллому и хориоидкарциному.
Хориоидпапиллома (ХП) имеет вид узла с бугристой поверхностью, напоминает цветную капусту. Хотя в основном ХП располагаются в просвете желудочков, в отдельных участках они могут инфильтрировать мозговое вещество. Микроскопически ХП имеют сосочковую структуру, похожую на сосудистое сплетение. В большинстве случаев ХП представляют собой доброкачественные, медленно растущие опухоли. Около 80% ХП встречаются в первые 5 лет жизни.
Клинические симптомы супратенториальных ХП обусловлены развитием гидроцефалии. Эти опухоли сопровождаются значительным увеличением желудочковой системы и базальных цистерн, обусловленным, вероятно, повышенной продукцией ликвора. ХП IV желудочка или боковых выворотов обычно встречаются у взрослых.
При КТ 3/4 папиллом выглядят как изо— или гиперденсные по сравнению с мозгом образования. Приблизительно в 25% случаев в ХП содержатся петрификаты. Для ХП характерно интенсивное, относительно гомогенное усиление после введения контраста.
При МРТ выявляется локализующаяся в пределах желудочковой системы опухоль с четкими контурами, лобулярным строением, изоинтенсивная по отношению к мозгу на Т1-взвешенных изображениях (рис. 9а). Проникновение ликвора между сосочками придает опухоли вид “цветной капусты”. В режиме Т2 ХП обычно изо— или слабо гиперинтенсивны. Сигнал от ХП значительно усиливается после введения контрастного вещества.
Хориоидкарцинома (ХК) — злокачественная опухоль сосудистых сплетений, локализующаяся преимущественно в боковых желудочках и инфильтрирующая прилежащие структуры мозга. Микроскопически опухоль состоит из обширных полей эпителиальных клеток с гиперхромными ядрами и светлой цитоплазмой. ХК составляет около 15% опухолей сосудистых сплетений и встречается преимущественно в детском возрасте. Может метастазировать по субарахноидальным пространствам. Основные симптомы связаны с гидроцефалией и, реже, с инвазией мозга.
КТ— и МРТ-проявления ХК не специфичны и, в общем, не отличимы от хориоидпапилломы (рис. 9б).

Рисунок 9:
а — хориоидпапиллома сосудистого сплетения заднего рога левого бокового желудочка (МРТ с контрастным усилением, Т1-взвешенные изображения); б — хориоидкарцинома сосудистого сплетения заднего рога правого бокового желудочка (МРТ с контрастным усилением, Т1-взвешенные изображения); в — менингиома, расположенная в области сосудистого сплетения заднего рога левого бокового желудочка (МРТ с контрастным усилением, Т1-взвешенные изображения); г — менингиома, расположенная в области сосудистого сплетения заднего рога левого бокового желудочка (МРТ с контрастным усилением, Т2-взвешенные изображения)
ХК прогностически неблагоприятны: выраженная инфильтрация ткани мозга делает их радикально неоперабельными, кроме того, эти опухоли имеют склонность к формированию имплантационных метастазов, которые обычно клинически проявляются на протяжении первых месяцев после операции. Сроки жизни больных с хориоидкарциномами в среднем не превышают 1,5 лет. Прогноз более благоприятный только при полном удалении опухоли.
Нейроэпителиальные опухоли неясного происхождения
Астробластома. Редкая глиальная опухоль, преимущественно возникающая у лиц молодого возраста.
Гистологически характеризуется типичными периваскулярными астроцитарными клетками с радиальными отростками, направленными к центральному кровеносному сосуду и содержащими глиальный кислый фибриллярный протеин (GFAP). В настоящее время не уточнено, к какой степени злокачественности следует относить это новообразование. Встречаются формы с гистологическими чертами, присущими как глиомам низкой, так и высокой степени злокачественности.
Чаще располагается в больших полушариях, реже — в мозолистом теле, мозжечке, зрительных нервах и стволе головного мозга. При КТ и МРТ в основном выглядит как хорошо очерченное, накапливающие контрастное вещество новообразование. Структура опухоли обычно гомогенная, но могут встречаться кисты и очаги некроза, особенно при новообразованиях больших размеров.
Лечение хирургическое, направленное, по возможности, на тотальное удаление как правило отграниченной опухоли. При выявлении гистологических признаков анаплазии назначается лучевая терапия.
Хордоидная глиома III желудочка. Очень редкая, медленно растущая глиальная опухоль, располагается в III желудочке, обычно в передних его отделах. Встречается чаще у взрослых, в 75% случаев — у женщин. Гистологически характеризуется кластерными скоплениями эпителиоидных клеток, содержащих глиальный кислый фибриллярный протеин с вариабельной муцинозной стромой, обычно содержащей лимфоплазматические инфильтраты. Соответствуют III степени злокачественности по классификации ВОЗ.
Клинически проявляется преимущественно симптомами внутричерепной гипертензии, возможны окклюзионные симптомы. Реже встречаются эндокринные (гипотиреоидизм) и зрительные нарушения, обусловленные дислокацией гипоталамуса и хиазмы, а также изменения психики.
МРТ выявляет объемное образование с четкими границами, равномерно и хорошо накапливающее контраст, обычно размерами 2–4 см, расположенное в области III желудочка. Редко выявляется кистозный компонент.
Локализация хордоидных глиом в III желудочке и их связь с гипоталамусом часто ограничивают радикальность операций, из которых приблизительно половина заканчивается субтотальным удалением опухоли. В этих случаях, даже при проведении лучевой терапии, часто наблюдается продолженный рост опухоли.
Церебральный глиоматоз (ЦГ) характеризуется диффузной инфильтрацией мозга опухолевыми клетками глиального происхождения. Часто распространяется более чем на две доли. Относится к III степени злокачественности. Характерной чертой ЦГ является увеличение полушарий мозга (иногда и мозжечка, ствола и даже спинного мозга) при кажущейся сохранности нормального анатомического строения.
Встречается редко, в любом возрасте, но несколько чаще у мужчин между 40 и 50 годами. Болезнь имеет прогрессивное течение, может длиться месяцы и годы, но исход в итоге всегда неблагоприятный. В клинической картине доминируют нарушения психики, фокальная симптоматика, как правило, в течение длительного времени отсутствует.
Наиболее общим проявлением ЦГ является наличие на КТ диффузно инфильтративного поражения, распространяющегося по белому веществу мозга, без усиления после внутривенного введения контрастного вещества и без деструкции мозгового вещества.
МРТ более информативна: выявляется обширное поражение паренхимы, особенно белого вещества, в виде областей повышения сигнала на Т2-взвешенных томограммах без четких контуров, переходящих в сигнал, присущий непораженному мозгу. Смещение борозд и желудочковой системы может быть слабо выражено (рис. 10б). На Т1-взвешенных изображениях теряется обычная разность в сигналах между белым и серым веществом мозга, извилины утолщены, субарахноидальные щели сдавлены (рис. 10а). Диффузная природа поражения при ЦГ приводит к тому, что его надо дифференцировать с демиелинизирующими заболеваниями. Поэтому для подтверждения диагноза необходима биопсия наиболее измененных (по данным МРТ) участков мозга. В далеко зашедшей стадии болезни могут появляться отдельные участки накопления контраста. Лептоменингиальный глиоматоз может быть похож на менингиальный карциноматоз.

Рисунок 10. Глиоматоз головного мозга: МРТ с контрастным усилением:
а — Т1-взвешенные изображения; б — Т2-взвешенные изображения
Прогноз плохой, более половины больных погибают в течение года. Специфического лечения не существует, после верификации диагноза, как правило, проводится дистанционная гамматерапия, которая несколько увеличивает среднюю продолжительность жизни.
Нейрональные и нейронально-глиальные опухоли
Это редко встречающиеся опухоли с хорошим прогнозом, для которых характерно наличие совместной нейрональной и глиальной дифференцировки. Точное понимание и знание классификации этих новообразований необходимо для того, чтобы избежать ненужной лучевой и химиотерапии.
Ганглиоцитома и ганглиоглиома. Хорошо дифференцированные, медленно растущие опухоли, состоящие из клеток ганглия (ганглиоцитома) или в сочетании с неопластическими глиальными клетками (ганглиоглиома). По степени злокачественности выделяют ганглиоцитомы I и II степени злокачественности. Они составляют менее 0,5% опухолей ЦНС.
Ганглиоцитома, по всей видимости, является не опухолью, а своеобразным пороком развития — нейрональными гетеротопиями. Динамическое рентгенологическое наблюдение за неоперированными больными на протяжении нескольких лет зачастую не выявляет признаков роста новообразования.
Излюбленная локализация ганглиоцитом — белое вещество височной доли, где эта опухоль представляет собой петрифицированную массу, а также область дна III желудочка, где опухоль замещает сосочковые тела. В последнем случае опухоль носит название нейрональной гамартомы дна III желудочка (гипоталамуса), которая имеет характерные эндокринологические проявления в виде синдрома преждевременного полового созревания. Связь ганглиоцитом с дизэмбриогенезом проявляется также в виде наличия у больных других пороков развития организма — синдактилии, ихтиоза и т.д. Крайне редко могут встречаться анапластические варианты.
Ганглиоглиома — бифракционная опухоль, состоящая из элементов ганглиоцитомы и пилоидной астроцитомы. Рост опухоли осуществляется в основном за счет глиального компонента. Располагается обычно в больших полушариях мозга, чаще в височной доле. Представляет собой плотное, четко отграниченное от мозга новообразование, нередко с кистой.
Проявляется чаще всего в молодом возрасте (до 20 лет) эпилептическими припадками (или фокальными неврологическими симптомами в редких случаях локализации в стволе мозга или подкорковых структурах).
На КТ выявляется хорошо очерченный опухолевый узел или киста с сóлидной частью. Опухоль может быть изо— или гиподенсной и содержать петрификаты, иногда накапливать контрастное вещество. При МРТ ганглиоглиомы характеризуются четко очерченной зоной пониженного на Т1— и повышенного на Т2— взвешенных изображениях сигнала.
Метод выбора в лечении этих опухолей — максимально возможная хирургическая резекция. Даже при неполном удалении лучевая и химиотерапия не применяются, проводится динамическое наблюдение.
Малигнизация ганглиоглиом наблюдается очень редко и проявляется быстрым нарастанием симптоматики. После максимально возможного удаления опухоли в этих случаях могут быть применены дополнительные методы лечения.
Десмопластическая ганглиоглиома детского возраста (“инфантильная” ганглиоглиома). Эта богатая соединительной тканью опухоль локализуется в поверхностных отделах больших полушарий и встречается преимущественно у детей до 3 лет.
Опухоль плотная, обычно прорастает кору мозга. Микроскопически представлена скоплениями вытянутых клеток, формирующих переплетающиеся между собой пучки, среди которых имеются скопления округлых богатых цитоплазмой ганглиозных клеток.
Диспластическая ганглиоцитома мозжечка при синдроме Лермитта — Дюкло представляет собой гипертрофию коры мозжечка, происходящую за счет избыточного накопления нейронов во внутреннем зернистом слое. Как правило, поражается одно из полушарий мозжечка. Макроскопически выглядит как ассиметричное увеличение мозжечка с утолщением и уплотнением извилин.
Дизэмбриопластическая нейроэпителиальная опухоль. Доброкачественное (1 степени злокачественности) новообразование, располагающееся преимущественно в коре больших полушарий (в 50% случаев — в височной доле). Часто сочетается с кортикальной дисплазией. Встречается чаще у детей и молодых мужчин.
Основное клиническое проявление — эпилептические припадки, очаговая неврологическая симптоматика обычно не выявляется.
При КТ без контрастного усиления — часто гипо— или изоденсивны; обычно содержат петрификаты, иногда кисты. Около трети этих опухолей накапливают контраст, что проявляется множественными участками кольцевидного усиления плотности. Практически никогда не бывает перитуморального отека и/или “масс-эффекта”. При МРТ на Т1-взвешенных изображениях для опухоли характерна низкая, на Т2 — высокая интенсивность сигнала.
Метод выбора — удаление опухоли. Существует прямая зависимость между радикальностью операции и клинической ее эффективностью в плане прекращения или уменьшения частоты эпилептических припадков. Продолженного роста остатков опухоли обычно не бывает.
Нейроцитома больших полушарий головного мозга (центральная нейроцитома) выделена как отдельная разновидность опухолей ЦНС в 1982 г. Составляет 0,5% опухолей ЦНС, наиболее часто выявляется у лиц в возрасте от 15 до 40 лет, локализуется в просвете боковых желудочков мозга. Составляет около половины всех интравентрикулярных опухолей у взрослых, доброкачественная.
Цитогенез нейроцитом пока неясен, высказывается предположение, что эти опухоли возникают из персистирующих субэпендимарных нейроцитов. Патомофологическая диагностика нейроцитом трудна, поскольку их необходимо дифференцировать от морфологически сходных олигодендроглиом и эпендимом. Единственный достоверный диагностический критерий — иммуногистохимическая или ультраструктурная верификация нейрональной дифференцировки опухолевых клеток; без проведения этих исследований нейроцитому можно диагностировать лишь предположительно.
Клинически нейроцитомы обычно проявляются синдромом внутричерепной гипертензии и вторичными зрительными и психическими нарушениями, редко выявляются эндокринные расстройства и пирамидная симптоматика.
Наиболее часто нейроцитомы располагаются в боковых желудочках мозга с тенденцией к срединной локализации в области прозрачной перегородки и отверстия Монро без четкой разницы сторон. Достигая иногда гигантских размеров, они могут заполнять практически всю желудочковую систему, обтурируя оба боковых и III желудочки и даже распространяться по сильвиеву водопроводу.
При КТ нейроцитомы выглядят как хорошо отграниченные новообразования гетерогенной, чаще незначительно повышенной плотности, расположенные в передних отделах тел боковых желудочков. В большинстве случаев можно выявить инфильтрацию прозрачной перегородки и стенок боковых желудочков, реже распространение в III желудочек (рис. 11в, г). Нейроцитомы обычно слабо или умеренно накапливают контрастное вещество. Часто выявляются множественные кисты и петрификаты, редко достигающие значительных размеров. Практически всегда имеет место гидроцефалия разной степени выраженности. На Т1-взвешенных МРТ интенсивность сигнала от опухоли близка к сигналу от коры головного мозга, т.е. опухоль представляется чаще всего изоинтенсивной (рис. 11б, в, г). Контрастное усиление при МРТ также варьируется от слабой до средней степени интенсивности. В Т2-режиме сигнал гетерогенный, изо— или гиперинтенсивный по отношению к серому веществу (рис. 11а). В некоторых случаях на МРТ обнаруживаются внутриопухолевые кровоизлияния, незаметные на КТ. Важной деталью являются небольшие кисты, лучше различимые на Т2-взвешенных МР-томограммах (рис. 11а.).

Рисунок 11. Нейроцитома обоих боковых и 3 желудочков головного мозга. МРТ с контрастным усилением:
а — Т2-взвешенные изображения, аксиальная проекция; г — Т1-взвешенные изображения, фронтальная проекция
Основной метод лечения нейроцитом — хирургическое удаление (рис. 12а, б). В большинстве случаев применяется передний транскаллезный или, реже, транскортикальный доступ. Интраоперационно опухоль имеет вид узла серо-желтого цвета, исходящего из области прозрачной перегородки и тампонирующей просвет боковых желудочков. Консистенция опухоли обычно бывает неоднородной, местами она удаляется при помощи вакуумного или ультразвукового аспиратора, местами бывает плотной и трудноудаляемой. Нейроцитомы часто богато васкуляризированы, в их структуре содержатся крупные сосудистые полости типа кавернозных ангиом. Удаление этих опухолей часто сопровождается значительной кровопотерей, поэтому обязательно использование кровесберегающих технологий (в первую очередь — аппаратной реинфузии крови).

Рисунок 12. Радикальное (тотальное) удаление большой нейроцитомы обоих боковых желудочков:
а — МРТ с контрастным усилением, Т1-взвешенные изображения, до операции; б — КТ с контрастным усилением через 3 года после операции, не определяются остатки опухоли
Прогноз. Большинство нейрональных или глионейрональных новообразований обладает медленными темпами роста, зачастую на протяжении многих лет. Поэтому во многих случаях предпочтение отдается динамическому наблюдению и симптоматической терапии (противосудорожной — при наличии дизэмбриопластической нейроэпителиальной опухоли или эндокринно-направленной — при гамартомах гипоталамуса). При наличии показаний (нарастание симптоматики и увеличение размеров опухоли по рентгенологическим данным) проводится хирургическое удаление новообразований, которое, как правило, сопровождается длительным безрецидивным периодом. Лучевая терапия не применяется, исключение составляют лишь нейроцитомы, для которых вопрос о целесообразности этого метода лечения дискутируется. Она может быть рекомендована в случаях неполного удаления опухоли или для лечения рецидивов нейроцитом. В среднем 5-летняя выживаемость составляет около 80%.
Литература
Коновалов А.Н. и др. Компьютерная томография в нейрохирургической клинике.— М.: Медицина, 1985.— 296 с .
Коновалов А.Н. и др. Магнитно-резонансная томография в нейрохирургии.— М.: Видар, 1997.— 471 c.
Мацко Д.Е. и др. Атлас опухолей центральной нервной системы (гистологическое строение).— СПб., 1998.— 200 с.
Apuzzo M.L.J. Benign cerebral glioma// Neurosurgical topics — American association of neurological surgeons.— 1995.— V. I-II.
Berger M.S. et al. The Gliomas.— W.B. Saunders Company, 1999.
Karnofsky J.H. et al. ...A.M.A. Arch. Int. Med.–1951.— 87(4).— P. 477–503.
Kleihues P. et al. Pathology and Genetics: Tumors of the nervous system.— Lyon: IARCPress, 2000.
Schmidek H.H. Operative neurosurgical techniques.— 2nd ed.— G&S, Inc. 1988.
Wilkins R.H. et al. ...Neurosurgery.— 1985.— V. 1.— P. 1–1164.
Описание проверено экспертом
Оцените статью:
- Опухоли мозга
- Глиобластома
- Астроцитома
- Нейробластома
- Злокачественная опухоль головного мозга
- Эпендимома
- Анапластическая астроцитома
- Рак мозга
- Опухоль головного мозга
- Опухоль мозга
- Первичная злокачественная опухоль головного мозга
- Первичная опухоль головного мозга
- Злокачественная глиома
- Метастазирующие опухоли мозга
- Метастазы в мозг
- Олигодендроглиома
- Пинеалома
- Хемодектома
- Хориоидпапиллома
- Опухоли больших полушарий
- Глиома саркоматозная
- Гранулобластома
- Нейроглиома эмбриональная
- Нейроспонгиобластома
- Нейроспонгиома
- Сферобластома
- Неврилеммома
- Фибробластома периневральная
- Шванноглиома
- Шваннома
- Олигодендроцитома
- Аденома шишковидного тела
- Хориоидэпителиома
- Опухоли головного мозга
- Злокачественное новообразование ГМ
- Злокачественная опухоль ГМ
- Опухоли ГМ
- Первичная опухоль ГМ
- Первичная злокачественная опухоль ГМ
Полужирным шрифтом выделены лекарства, входящие в справочники текущего года. Рядом с названием препарата может быть указан ежегодный уровень индекса информационного спроса (показатель, который отражает степень интереса потребителей к информации о лекарстве).
новообразование головного мозга
новообразование головного или спинного мозга
нейробластома
злокачественное новообразование головного мозга
мультиформная глиобластома
злокачественная глиома
опухоли головного мозга, опухолями головного мозга, доброкачественных новообразованиях головного мозга, наличие признаков роста опухоли головного мозга, опухоли ЖКТ, прогрессирующей опухолью головного мозга, Опухоль мозга, церебральная неоплазия, опухолей головного мозга, Опухолевое поражение головного мозга, при опухолях мозга, новообразования ЦНС, новообразования центральной нервной системы, нейробластомой, злокачественных новообразованиях головного мозга, злокачественные новообразования головного мозга, впервые выявленная мультиформная глиобластома, детский возраст до 3 лет при лечении рецидивирующей или прогрессирующей злокачественной глиомы, прогрессирующая злокачественная глиома, рецидивирующая злокачественная глиома,