C85.9 Неходжкинская лимфома неуточненного типа, МКБ-10
Отредактировано: 02.04.2024
Лимфомы ЦНС могут быть вторичными (выявляются примерно у 4% больных системной лимфомой, лейкозами и ЛГМ — болезнью Ходжкина). Первичные внутричерепные лимфомы составляют около 1,5% первичных внутричерепных опухолей и около 1% злокачественных лимфом. Немного чаще болеют мужчины (соотношение 3:2). Заболеваемость среди иммунокомпетентных лиц по неясным причинам за последние десятилетия возросла более чем вдвое (среди больных СПИДом, аутоиммунными заболеваниями и людей, получающих иммунодепрессанты, заболеваемость существенно превосходит среднюю в популяции — так, внутричерепные лимфомы развиваются у 10% больных СПИДом, что превосходит среднюю в популяции заболеваемость почти в 4 тыс. раз). Пик заболеваемости — около 50 лет, у лиц с иммунодефицитом — около 35 лет.
При первичных лимфомах ЦНС интервал между первичными симптомами и диагнозом колеблется от нескольких дней до 2 лет, составляя в среднем около 2 мес. Клинические проявления неспецифичны и в основном определяются локализацией объемного образования и симптомами повышенного внутричерепного давления. Примерно у 10% больных выявляется помутнение хрусталика, иногда — увеит.
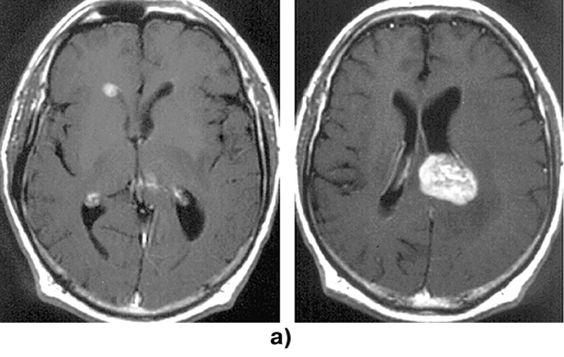
На МРТ или КТ (рис. 1) первичные лимфомы головного мозга в основном выглядят как объемные сóлидные образования гомогенно повышенной плотности, реже выявляются гипо— или изоденсные очаги. Больше 90% лимфом накапливают контраст, при этом гомогенное накопление контраста наиболее типично. Реже контрастное усиление происходит по периферии новообразования в виде кольца или не происходит вообще. В 10–30% случаев выявляется множественное поражение. Опухоли чаще располагаются супратенториально (лобные доли, подкорковые узлы, мозолистое тело, перивентрикулярно); субтенториальное распространение отмечается приблизительно в 25%, в основном в мозжечке; ствол мозга и спинной мозг поражаются редко. Первичные лимфомы ЦНС обычно локализуются в паренхиме мозга в отличие от системных лимфом («вторичное» поражение), при которых имеется лептоменингиальное распространение.

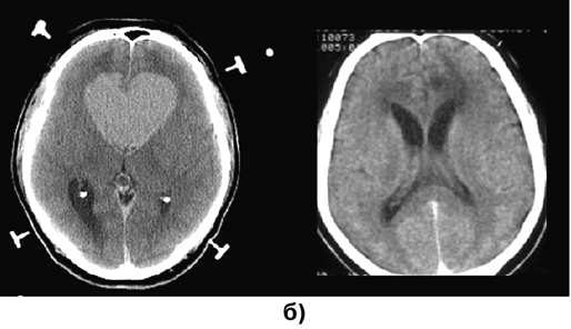
Рисунок 1. Первичные лимфомы ЦНС:
а — множественная первичная лимфома головного мозга (МРТ, Т1-взвешенные изображения с контрастным усилением, аксиальная проекция); б — лимфома медиальных отделов лобных долей, с обеих сторон распространяющаяся на колено мозолистого тела (до и через 1 год после стереотаксической биопсии и комбинированного лечения) (КТ с контрастным усилением, аксиальная проекция)
Предположение о первичной лимфоме ЦНС должно возникать всякий раз, когда на КТ обнаруживается гомогенное объемное образование повышенной плотности, особенно расположенное паравентрикулярно или вблизи от мозолистого тела и других срединных структур. Обнаружение двусторонних симметричных субэпендимарных очагов повышенной плотности подтверждает диагноз первичной лимфомы ЦНС. Перитуморозный отек, как правило, выражен меньше, чем при злокачественных глиомах и метастазах. Применение стероидов обычно приводит к существенному уменьшению и даже к исчезновению лимфом, по данным КТ или МРТ.
Первичные лимфомы, возникающие на фоне заболевания СПИДом, часто выглядят как кольцевидное образование повышенной плотности. По МРТ и КТ их трудно отличить от токсоплазмоза или других неопухолевых поражений.
Цитология ликвора имеет ограниченное диагностическое значение. Лимфомные клетки обнаруживаются только у 10% больных.
Макроскопически опухоли могут быть плотными, эластичными, часто с центральным некрозом и очагами кровоизлияний.
Международная классификация лимфом базируется на идентификации степени дифференцировки опухолевых клеток и включает 10 разновидностей. Характерная особенность лимфом — их ангиотропизм, опухолевые пролифераты располагаются в основном периваскулярно. Первичные лимфомы головного мозга преимущественно В-клеточные. Т-клеточные формы составляют всего около 1,5% всех лимфом ЦНС. Отличить В-клеточную от Т-клеточной лимфомы можно только при помощи иммуногистохимических методов, гистологически они идентичны.
Дифференциальный диагноз проводится прежде всего с метастазами рака и злокачественными глиомами. В диагностике лимфом важное значение имеет иммуногистохимическое исследование с антителами к лейкоцитарным антигенам и онкобелку bcl–2, который содержится в мембранах В-клеточных лимфом.
Частичное или тотальное удалением опухоли не влияет на продолжительность жизни при первичных лимфомах ЦНС. Основная цель операции — установление гистологического диагноза, для чего обычно используется стереотаксическая техника.
Без лечения средняя продолжительность жизни больных с первичными лимфомами ЦНС составляет около 3 мес после установления диагноза. Прогностически благоприятные признаки — одиночные опухоли, отсутствие признаков диссеминации и иммунодифецита, возраст до 60 лет и удовлетворительное (70 и более баллов по шкале Карновского) состояние больного на момент установления диагноза.
Стандартное лечение после установления тканевого диагноза включает в себя применение различных схем химиотерапии и лучевой терапии. Для пациентов без иммуносупрессии целесообразно проводить облучение всего головного мозга (от 40 до 50 Гр) с локальным бустом (от 60 до 65 Гр). В поля облучения всего мозга должны быть включены задние отделы орбит. У пациентов с вовлечением глаза СОД на глаз должна составлять от 30 до 40 Гр.
У пациентов с выявленной диссеминацией опухоли по ликворным пространствам может применяться краниоспинальное облучение или равная по эффективности интратекальная химиотерапия.
Для пациентов с первичной лимфомой ЦНС и иммуносупрессией может быть необходима модификация дозы облучения и лечебной программы.
У больных старше 60 лет лучевая терапия проводится самостоятельно, без предварительной химиотерапии.
У больных без признаков ВИЧ-инфекции системная химиотерапия в комбинации с лучевой терапией обычно увеличивает продолжительность жизни. Дополнительное введение метотрексата интравентрикулярно или интратекально также способствует улучшению показателей выживаемости.
Предложено множество различных режимов химиотерапии. Можно рекомендовать, например, следующий: кармустин (BCNU) — 100 мг/м2 — день 1, тиотепа — 50 мг/м2 — день 1, этопозид — 80 мг/м2 — дни 1–5, метотрексат в высоких дозах (с кальция фолинатом) — от 1 до 3 (и даже выше) г/м2 — день 14. Такие курсы повторяются каждые 3–4 нед. Режим лечения очень жесткий, поэтому целесообразно его использование в условиях гематологического отделения.
В настоящее время на фоне сочетания лучевой и химиотерапии, вызывающей терапевтический ответ у 90% иммунокомпетентных больных, средняя продолжительность жизни составляет 17–45 мес, а 2— и 5-летняя выживаемость — соответственно 60 и 35%.
Описание проверено экспертом
Оцените статью:
- Неходжкинская лимфома
- Неходжкинские лимфомы
- Неходжкинские злокачественные лимфомы
Полужирным шрифтом выделены лекарства, входящие в справочники текущего года. Рядом с названием препарата может быть указан ежегодный уровень индекса информационного спроса (показатель, который отражает степень интереса потребителей к информации о лекарстве).